Portable ultrasound devices greatly downsizes the need for punctures and surgeries by visualizing anatomical structure conditions. These devices act as a valuable aid in procedures such as central venous catheter placement, thoracentesis, and paracentesis. Their streamlined operation further enhances internists’ workflow efficiency, allowing quick diagnosis without complex machine setups or long-waiting reservations. With dual-head designs, clinicians can easily switch between probes, facilitating the scanning of both superficial and deep organs.
Gastrointestinal ultrasound (GIUS) is a practical, safe, cheap and reproducible diagnostic tool in inflammatory bowel disease. In general terms, the examination principally covers the colon, mesentery, and small intestine. It provides critical insights into inflammatory bowel disease (IBD) by measuring bowel wall thickness. GIUS also encompasses assessment of symmetry of bowel wall thickness, evidence of transmural changes, assessment of vascularity using Doppler imaging, and assessment of other specific features including lymph nodes, mesentery, and luminal motility.
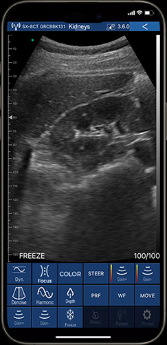
Ultrasound imaging assesses the size, location, and morphology of the kidneys and surrounding structures, including the ureters and bladder. It is commonly utilized for the detection of congenital kidney anomalies such as renal agenesis, ectopic kidney, and horseshoe kidney. Though ultrasound, clinicians can identify cystic lesions, including simple renal cysts and adult polycystic kidney disease. Kidney ultrasound is also crucial for the initial detection of renal masses, including angiomyolipomas and renal cell carcinoma, and can assist in diagnosing infections like pyelonephritis and renal abscesses. In evaluating kidney trauma, ultrasound effectively assesses damage and hematoma, as well as diagnose renal stones and urinary obstructions.
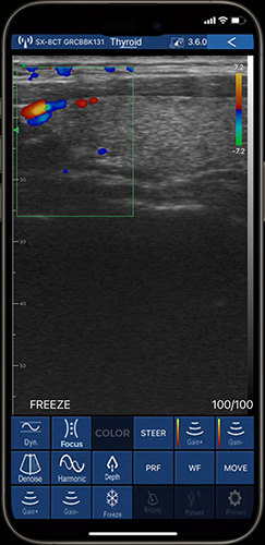
Thyroid ultrasound is widely implemented in diagnosing conditions affecting the thyroid gland, including nodules, goiters, cysts, and tumors. It helps visualize the shape and structure of nodules, differentiating between solid and cystic lesions, while assessing blood flow and identifying calcifications. Additionally, healthcare professionals are utilizing advanced ultrasound devices to distinguish between malignant and benign masses and helps detect autoimmune diseases like Graves’ disease. Post-surgery, ultrasounds verify the removal of nodules or tumors. Furthermore, thyroid ultrasound guides instruments during biopsies, such as fine needle aspiration (FNA) for thyroid nodules and surrounding lymph nodes.


