An ultrasound probe with 80 elements is often considered to be at a mid-range level of performance in terms of imaging technology. An 80-element ultrasound device generally comes at a lower price point compared to higher-density options, making it accessible to a broader range of healthcare facilities, especially smaller clinics or budget-conscious institutions.
For routine mid-pregnancy obstetric scans, clinicians prefer 80-element ultrasound devices to evaluate key growth markers such as the biparietal diameter, head circumference, and limb length, which are crucial for determining gestational age and overall fetal development. The ultrasound device with 80 elements also helps clinicians visualize amniotic fluid levels, placenta location, and the presence of multiple gestations. These scans serve as an essential component of prenatal care, providing a foundational understanding of fetal development and enabling early identification of potential issues such as growth restriction or anatomical abnormalities.
Integral to basic echocardiograms (ECHO), an 80-element ultrasound device provides essential insights into cardiac structure and function by evaluating the size and function of the left and right ventricles. It helps clinicians detect conditions such as left ventricular hypertrophy or dysfunction. The ultrasound device with 80 elements is also adopted for standard imaging views, including the apical four-chamber, parasternal long-axis, and subcostal views, which help identify structural abnormalities like atrial septal defects or pericardial effusion. Additionally, cardiologists can assess blood flow across the valves switching to Doppler mode, aiding in the diagnosis of conditions like mitral regurgitation and aortic stenosis.
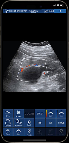
In the Internal Medicine department, 80-element ultrasound devices are frequently used to evaluate abdominal organs, such as the liver and kidneys. It allows internists to identify hepatomegaly, cirrhosis, or fatty infiltration, and characterize simple hepatic cysts versus focal liver lesions based on echogenicity and morphology. In kidney assessments, an 80-element ultrasound device helps clinicians determine the renal size and features such as cortical thickness and cystic formations, aiding in the diagnosis of conditions like renal artery stenosis or hydronephrosis. Additionally, the 80-element ultrasound transducer assists in monitoring changes in organ size over time in chronic conditions, supporting healthcare providers in long-term patient management.


